新研究揭示太阳黑子11年周期之谜
400年来,人们都在关注太阳黑子的活动,可是一直不明白为什么每隔11年太阳黑子的数量就增多一次。华盛顿大学一份最新研究可能找到了答案。研究者从他们建立的核能模型中发现,太阳表层之下的一个等离子薄层的活动情况,可能是造成太阳的很多特征的原因,包括太阳黑子、磁级倒转、太阳流等。
量子字母表出炉,解决相对论下量子信息传输
维也纳大学(University of Vienna)一份近期发表在《物理评论快报》(Physical Review Letters)上的研究称,当量子力学和相对论同时起作用之时,传统的信息解读方式将失败。他们引入了一套新的字母表解决了这个问题,确保量子信息正确传输。
研究揭秘压力下细胞的生死机制
在遇到压力的情况下,有的细胞可以存活,有的细胞却死亡。新研究找到了决定细胞生死命运的关键分子。这为治疗炎症和其它相关疾病,如动脉粥样硬化开辟了新的方向。DDX3X酶的分子结构。圣犹达儿童研究医院(St.
遥远星系走向死亡,新研究提两种可能原因
天文学家发现,一些遥远的星系失去了诞生新星的能力,里面现存的恒星也逐渐暗淡或爆炸消亡,整个星系走向死亡。近期一份研究正就此进行调查,提出两种可能的原因。处女座星系团中的棒旋星系NGC4639。
研究:所有彗星或来自宇宙同一区域
一份新研究认为,所有的彗星可能都诞生于太阳系外围一个狭窄的环形带,彗星的成分是现存的早期太阳系情况的珍贵记录。不同于行星和小行星等石头天体,彗星主要由冰晶和一些尘埃组成。这些冰晶含有一氧化碳、甲烷、水和其它复合物,可能展现的正是太阳系早期的情况。
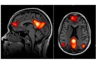
研究:美感在高层脑神经区有统一标准
新研究发现,人类大脑对不同类别的美,比如画作、建筑物或自然风光,在视觉区域有着不同的反应;然而在一个负责静思的区域,居然呈现一致的反应。研究者让受试者欣赏画作、建筑或自然风光的图片,并用功能性磁振成像(fMRI)监控受试者脑部的活动。
抗生素新突破或将来自土壤
一份新研究称,通过简单的基因编辑,能从土壤中发现多种全新的抗生素。在生物界已经几十年没实现抗生素的突破、超级细菌危机愈发严重的今天,这无疑是个让人十分兴奋的消息。研究者从土壤中提取微菌进而制造新型抗生素。
SpaceX“星际飞船”面世,可重复使用
SpaceX公司推出其新一代太空船——“星际飞船”(Starship)。该太空船旨在将机组人员和货物运送到月球、火星或太阳系任何其它星球后,能够飞回、垂直降落在地球上。
照片显示木星表面出现巨大“黑洞”
美国宇航局(NASA)的朱诺号(Juno)木星探测器最近发回的照片显示,在木星汹涌翻腾的云层上,有一块巨大的黑斑。分析发现,这原来是木卫一(Io,也称艾奥)在木星上投下的巨大阴影。朱诺2017年抵达木星系统,开始环绕木星的探测工作。










