新研究发现,人类大脑对不同类别的美,比如画作、建筑物或自然风光,在视觉区域有着不同的反应;然而在一个负责静思的区域,居然呈现一致的反应。

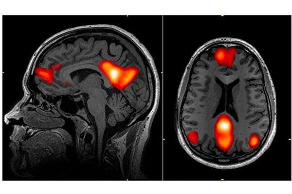
研究者让受试者欣赏画作、建筑或自然风光的图片,并用功能性磁振成像(fMRI)监控受试者脑部的活动。结果显示,受试者的大脑视觉区域对于不同类别的美图,产生的信号各不相同。然而在大脑中一个被称为“预设模式网络”(DMN,Default Mode Network)的功能性区域,却对所有类型的美图有着一致的脑部活动模式。
研究负责人、德国马克斯普朗克经验美学研究所(Max Planck Institute for Empirical Aesthetics)的爱德华.凡赛尔(Edward Vessel)说,“我们不知道这种一致性是否是经过‘预设模式网络’自行处理后的结果,但此网络显然能够获取关于美感的某种抽象又普适的规则。”

人们的心理活动、沉思,包括自我幻想都来源于这个“预设模式网络”。一般而言,预设模式网络在人的注意力没有放在外在的世界时开始运作,此时大脑会处在清醒的休息状态,例如做白日梦或放空时。人在想着自己或他人,回忆往事或计划着将来时,预设模式网络也会处在活跃的状态。也就是当人放空的时候,预设模式网络就会自然启动。
新的研究发现,这个网络在人们的审美、或被视觉艺术感动的体验中起着重要作用。研究者称,由于此网络当人与外在世界互动时处于休眠状态,因此视觉的美感体验信息出现在这个区域着实不同寻常。

尽管美感是非常主观的体验,但它在很大程度上影响着人们的生活。研究者称,更好地了解这些体验的机制,有助于进一步揭示不同类型的娱乐体验在大脑高层神经网络中的联系,改善人们的心理健康。
研究者还表示,这份研究只对视觉美感进行了实验,未来将考察这个区域对于其它艺术类型的美感,如音乐、诗歌,是否也有类似的反应。
这份研究近期发表在《美国国家科学院院刊》(PNAS)上。










